The Complement System

The complement system is a central component of the innate immune system that, upon activation, initiates a signaling cascade to eliminate foreign or damaged cells. Many diseases/conditions are mediated by complement dysregulation, and complement activation can occur at multiple points during the kidney transplantation process.
Watch the video to learn more.
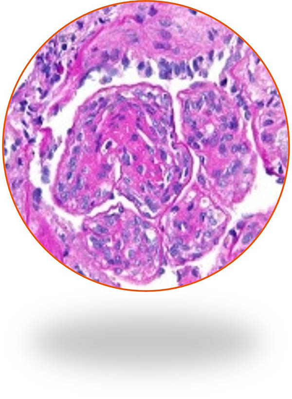
Complement Overactivation Underlies the Rare Kidney Diseases C3G and Primary IC‑MPGN
What Are C3G and Primary IC‑MPGN?: An Overview From Jai Radhakrishnan, MD
Key information includes:- Prevalence
- Underlying cause
- Common signs and symptoms
- Diagnosis and prognosis

The Complement System and Its Role in C3G and Primary IC‑MPGN: An Overview From Dr. Laura Mariani
Key information includes:- The role of the complement system
- Common drivers of disease
- Physiological consequences of complement overactivation
Presentation and Diagnosis of C3G and Primary IC‑MPGN: A Conversation With Dr. Anthony Chang and Dr. Suneel Udani
Learn about the hallmarks of C3G and primary IC‑MPGN and how these diseases are diagnosed
Kidney Transplantation Is Not the End of the Road for Patients With C3G or Primary IC‑MPGN
Mary’s Story of Living With C3G
Key information includes:- Disease presentation and diagnosis
- Evolution of treatment with disease progression
- Transplant journey
Management of C3G and Primary IC‑MPGN: A Case-Based Discussion With Dr. Jai Radhakrishnan and Dr. Mariela Navarro-Torres
Key information includes:- Patient’s diagnostic journey
- Treatment options and patient management
- The integral role of biopsy
- Transplantation and disease recurrence


